lung cancer

Chicago study pushes for expanded lung cancer screenings
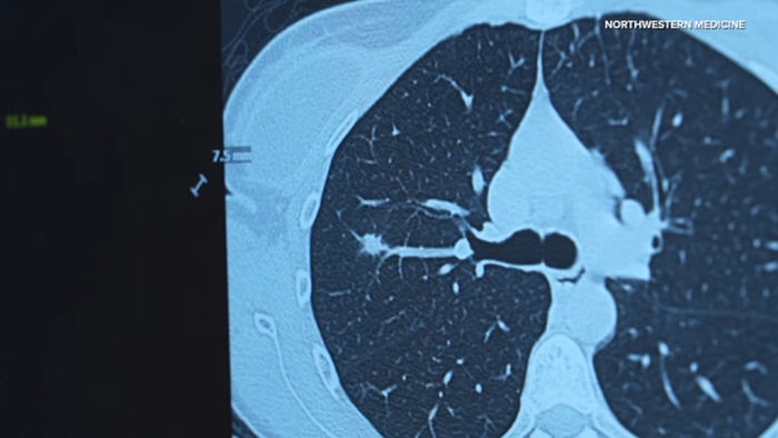
Northwestern Medicine is launching a new lung health center to help detect lung cancer at earlier ages. This comes after a new study shows the cancer is impacting young women and non-smokers.
More Stories
More Stories
